Главная
Пироплазмоз у собак: симптомы и лечение
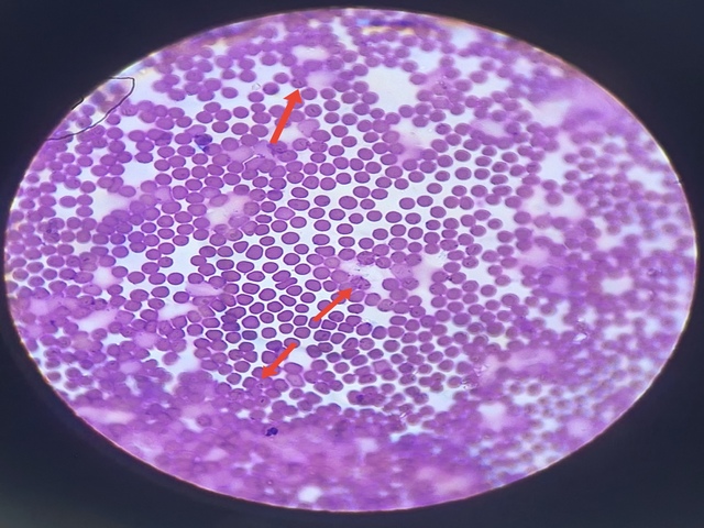
В марте в ГБУ Брянской области «Унечская райветстанция» участились случаи обращения владельцев собак по поводу заболевания их питомцев пироплазмозом. Всего за месяц было диагностировано 11 случаев.
Пироплазмоз у собак — это сезонное заболевание, вызываемое простейшими кровепаразитами из рода Babesia. Основной путь заражения животных — укус инфицированного клеща. Клещ впрыскивает в организм слюну, в которой содержатся микроскопические паразиты. Сезонность заболевания выпадает на весну и осень. Однако в последнее время из-за малоснежных и теплых зим оно все чаще приобретает массовый характер, теперь случаи заболевания пироплазмозом регистрируют на протяжении всего года. Также значительно расширилась география распространения, это заболевание встречается на данный момент практически повсеместно. К тому же видоизменяется и симптоматика пироплазмоза. Многие явные клинические признаки заболевания могут отсутствовать (например, повышение температуры, бледность или желтушность слизистых, отказ от пищи и т.д.). В таких случаях определить наличие заболевания удается только после микроскопического исследования мазка крови и обнаружения возбудителя пироплазмоза.
Ампутация конечности у кота
Самовыгул кошек — распространенная практика, которую многие владельцы считают естественной потребностью животного. Однако свободный доступ на улицу сопряжен с множественными рисками для здоровья и жизни питомца. На прием к ветеринарным специалистам ГБУ Брянской области «Унечская райветстанция» поступило животное с очень тяжелой травмой передней конечности. Кот отсутствовал дома несколько дней. Результатом такой прогулки стало попадание животного в капкан, раздробление костей, разрывы мышц, нервов, сосудов и некроз тканей передней лапки.
Резаные раны у собак: причины и профилактика
Одной из самых распространенных травм у собак является резаная рана от профильного листа, которым обшивают забор владельцы домовладений. Собаки подкапывают такие заборы и пытаются протиснуться в лаз, что зачастую и провоцирует появление глубоких порезов. Резаные раны у собак могут быть поверхностными или глубокими, с повреждением мускулатуры, нервов, внутренних органов.
Крипторхизм у собак: определение патологии и ее устранение
Ветеринарными специалистами ГБУ Брянской области «Унечская райветстанция» была проведена кастрация кобеля породы йоркширский терьер, которому был поставлен диагноз - крипторхизм. Животному 5 лет, правый семенник не опустился в мошонку, а остался в паховом канале. При пальпации отмечалась болезненная реакция животного. Дополнительно было проведено ультразвуковое исследование. Обнаружено перерождение паренхимы семенника и развитие неопластического процесса. Это и стало показанием для оперативного вмешательства.
Подробнее: Крипторхизм у собак: определение патологии и ее устранение
Мочекаменная болезнь у кошек: причины и лечение
Ветеринарными специалистами ГБУ Брянской области «Унечская райветстанция» в результате ультразвукового исследования у кота было диагностировано наличие двух камней в мочевом пузыре. В анамнезе – жалобы владельца животного на частое мочеиспускание с примесью крови в моче. После постановки диагноза - мочекаменная болезнь - врачами было принято решение о проведении оперативного вмешательства методом цистотомии – извлечение камней через рассечение стенки мочевого пузыря.
Встречи с учащимися образовательных учреждений города Унечи
15 октября, в рамках реализации проекта «Защита животного мира», а также областной Добровольческой акции "Осенняя неделя добра - 2025", ветеринарный врач Унечской районной ветеринарной станции Мацкевич Ольга Сергеевна провела беседы с учащимися 4-х классов МОУ-СОШ №5 и МОУ-СОШ №2 города Унечи. Также участие во встречах приняли активисты и волонтеры городской группы помощи бездомным животным «ДАРИ ДОБРО».
Подробнее: Встречи с учащимися образовательных учреждений города Унечи
Эозинофильная гранулема у кошек: причина возникновения и лечение
В практике ветеринарных специалистов ГБУ Брянской области «Унечская райветстанция» встречалось несколько случаев заболевания кошек эозинофильной гранулемой.
Эозинофильная гранулема – это комплекс специфических воспалений кожи и слизистых оболочек у кошек. Первопричиной эозинофильной гранулемы обычно становится аллергическая реакция – повышенный ответ иммунной системы животного на какие-либо вещества. Запустить данный механизм может наличие паразитов, как внутренних (гельминты, простейшие), так и наружных (клещи, блохи). Аллергическая реакция на укусы блох стоит на первом месте. Так же очень частой проблемой становится гиперчувствительность на воздушные аллергены (атопический дерматит). Вещества, вызывающие ее, могут быть самыми разнообразными - пыльца, домашняя пыль, плесень.
Подробнее: Эозинофильная гранулема у кошек: причина возникновения и лечение
Ветеринарно-санитарная экспертиза растительной продукции на ярмарках г. Унеча
Ветеринарными специалистами лаборатории ветсанэкспертизы ГБУ Брянской области "Унечская райветстанция" ежедневно проводится контроль за качеством растительной продукции (овощи, корнеклубнеплоды, фрукты, бахчевые культуры, лесные и садовые ягоды, грибы), поступающей на ярмарки Унечского района - ПО «Кооператор» и МБУ "СЭОМИ" с/х площадка. Ветеринарно-санитарной экспертизе подвергается каждая партия растительной продукции.
Подробнее: Ветеринарно-санитарная экспертиза растительной продукции на ярмарках г. Унеча
Выпадение глаз (проптоз) у собак: причины и лечение.
Ветеринарными специалистами ГБУ Брянской области «Унечская райветстанция» было проведено вправление выпавшего глаза у щенка породы пекинес. Со слов владельца животного, это произошло в результате удара лапой большой собаки по голове щенка.
Выпадение глаза или проптоз – это смещение глаза за пределы глазной орбиты. Наиболее частые причины выпадения глаза у собак – это тупые травмы головы или глаза, повышение давления в сосудах черепа, избыточная физическая нагрузка, давление на область головы или шеи при фиксации собаки, воспалительные процессы (например, абсцесс) или опухоли, расположенные за глазом. К выпадению глаз подвержены брахицефалические породы собак (с плоской мордочкой и неглубокой орбитой глаз) – ши-тцу, пекинесы, мопсы, шпицы, чихуахуа и др. Эти породы более предрасположены к заболеванию из-за широкой глазной щели и мелкой орбиты (выемки в черепе, в которой находится глаз). У животных этой группы риска выпадение глаза происходит без особых усилий.
Подробнее: Выпадение глаз (проптоз) у собак: причины и лечение.
Проведение операции по удалению прибылых пальцев у собаки
Ветеринарными специалистами ГБУ Брянской области «Унечская райветстанция» была проведена операция по удалению прибылых пальцев на задних лапах у собаки. Со слов владельца животного, наличие лишних пальцев мешало собаке при движении и создавало дискомфорт.
У собак на передних и задних конечностях имеется по четыре пальца. Большой палец в процессе эволюции утратил свою функцию и превратился в рудимент. Этот рудимент называют прибылым пальцем или волчьим когтем. Лишние пальцы на передних конечностях собаки - это норма. Они располагаются с внутренней стороны лучезапястного сустава, имеют меньший размер, прочно соединяются с сухожилиями и костями. Появление пятых или даже шестых рудиментарных пальцев на задних конечностях называется «Полидактилия». Обычно они имеют недоразвитые фаланги и прикрепляются к конечности при помощи кожи. Такая собака не является больной, и кроме того, у представителей некоторых аборигенных пород (ненецких лаек, бриаров, босеронов, пиренейских мастифов) дополнительные пальцы на задних лапах считаются показателем чистокровности.
Подробнее: Проведение операции по удалению прибылых пальцев у собаки




























